Femoral Neck Fracture
Definition:
The femoral neck fracture is one of the most common fractures of the elderly. The cause is usually a fall on the hip from a low height. An important risk factor is osteoporosis.
Symptoms:
Sufferers complain of severe hip pain and an inability to move the affected leg. Often there are bruising in the lateral hip area and some patients describe a pulling pain in the groin. Furthermore, the leg is often shortened and turned outwards.
Diagnosis and Therapy:
In addition to a thorough physical examination, radiographs of the pelvis and the affected hip are crucial for the diagnosis.

Images: Here is the supply of a dynamic hip screw shown.
A classification of the femoral neck fractures can be made according to different aspects, which have, inter alia, influence on the choice of therapy method. In addition to the "classic" femoral neck fractures, there are other fractures of the femur close to the hip, which lie laterally or somewhat further away from the femoral neck.
In the "classic" femoral neck fracture, known in the jargon as medial femoral neck fracture, there are different treatment options depending on the age of the patient and the type of fracture.
In younger patients and a minor shift, the goal is to preserve the femoral head. The blood supply to the femoral head is at risk for medial femoral neck fractures, so that the fastest possible care should be sought if one wants to preserve the femoral head. Among others, the dynamic hip screw (DHS) is available for this purpose.
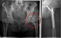
In older age and with stronger displacement of the fracture can be done by a duo-head prosthesis. Here only the femoral head is replaced, the hip socket is preserved. In case of simultaneous hip arthrosis, a total endoprosthesis (hip replacement) with replacement of the acetabular cup can be used.

Picture: This picture shows the treatment of a severely displaced fracture with a so-called duo head prosthesis. The acetabulum was left here.

Picture: In this case, there was already a wear of the hip joint and the affected patient was relatively young, so that a cement-free total endoprosthesis (TEP) of the hip was selected for the treatment of the femoral neck fracture. Here, in addition to the femoral head, the acetabular cup was replaced by an implant.
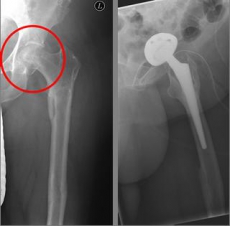
Pertrochanteric fractures, which are not femoral neck fractures close to the hip, are treated with a so-called gamma nail. The rupture here runs through the large and / or small "hillock" (trochanter major and minor) of the thighbone. Here, due to the location of the fracture, the blood supply to the femoral head is NOT compromised. After the operation, an immediate mobilization can take place under pain-adapted full load.

Picture: In this pertrochanteric femur fracture, a gamma nail was used to stabilize the fracture. The femoral head does not have to be replaced in this case, because the femoral neck is intact and the femoral head is still well supplied with blood.
After Treatment:
The early mobilization of patients after the operation is the most important component of the follow-up treatment. In the case of a treatment using a dynamic hip screw, partial loading of the leg must be maintained for 6 weeks, after which the full load can be built up. At intervals of 6 months, X-ray checks must be performed in order to detect a possible necrosis of the femoral head in timely manner. After that, an annual check is sufficient.
If a restoration was performed using a duo-head prosthesis or gamma nail, the mobilization can be carried out immediately with pain-adapted partial loading. Rapid mobilization and hence discharge from the hospital is particularly important for elderly patients, as prolonged immobilization may increase morbidity and thus loss of quality of life.
